Periodoncia en Villa Urquiza
Tratamiento especializado para encías saludables y prevención de enfermedades periodontales
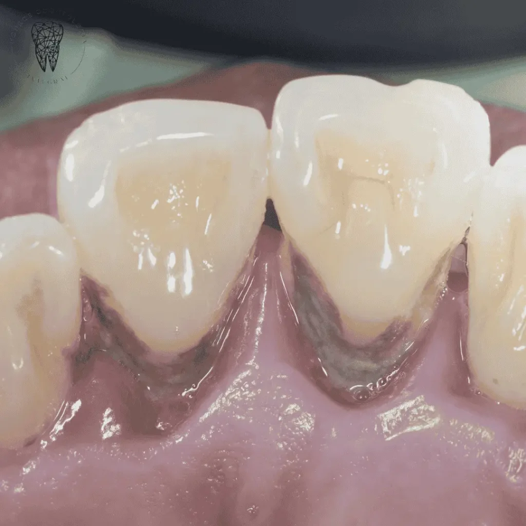
El tratamiento periodontal se enfoca en la prevención, diagnóstico y tratamiento de las enfermedades que afectan las encías y el hueso que sostiene tus dientes. A través de técnicas especializadas, que realiza nuestro periodoncista eliminamos el sarro y las bacterias acumuladas por debajo de la línea de las encías, zonas que no se alcanzan con una limpieza dental convencional.
¿Por qué no es como una limpieza común?
Mientras que una limpieza dental convencional se realiza sobre la superficie visible de los dientes, el tratamiento periodontal trabaja en profundidad, limpiando las bolsas periodontales (espacios entre la encía y el diente) donde se acumulan bacterias que causan inflamación, sangrado y, si no se tratan, pérdida ósea y dental. Es un procedimiento más complejo que requiere instrumental especializado y, en algunos casos, anestesia local para tu comodidad.

Tratamiento Periodontal
Limpieza profunda de encías y bolsas periodontales para eliminar bacterias y sarro que no se alcanzan con una limpieza convencional.
Los beneficios del tratamiento periodontal son:
- Previene la pérdida de dientes: Elimina las bacterias que causan el deterioro del hueso y tejidos de soporte.
- Detiene el sangrado y la inflamación: Reduce la gingivitis y periodontitis, mejorando la salud de tus encías.
- Elimina el mal aliento: Remueve las bacterias responsables del mal olor persistente.
- Protege tu salud general: Las enfermedades periodontales están vinculadas con problemas cardíacos, diabetes y otras condiciones sistémicas.
- Resultados duraderos: Con mantenimiento regular, mantenés tus encías saludables a largo plazo.
- Procedimiento profesional y seguro: Realizado por especialistas con equipamiento de última generación.
Nota: Si experimentás sangrado frecuente de encías, mal aliento persistente, movilidad dental o encías retraídas, es importante realizar una evaluación periodontal. La detección temprana es clave para evitar complicaciones.
¿Tenés encías inflamadas o sangrado al cepillarte? Reservá tu evaluación periodontal por WhatsApp y cuidá la salud de tus encías.
